DoseRAD2026¶
Real-time Photon and Proton Dose Calculation on CT and MRI¶
Background¶
Radiotherapy is a cornerstone of modern cancer treatment. Its success depends on delivering a precise radiation dose to the tumor while sparing surrounding healthy organs. Achieving this requires accurate modeling of how radiation particles deposit energy inside the patient’s body — a process known as dose calculation.
Conventional high-accuracy dose calculation relies on Monte Carlo simulations, which model particle transport physics in great detail. While extremely accurate, these simulations are computationally expensive and typically too slow for time-critical clinical workflows, while also requiring a CT image of the patient.
Accelerating dose calculation would bring substantial clinical benefits: faster treatment planning, improved quality assurance, online plan adaptation, and ultimately real-time dose-guided radiotherapy. In such a paradigm, radiation delivery could be continuously adapted to anatomical changes and motion through a real-time feedback loop.
Recent advances in artificial intelligence (AI) and physics-informed learning suggest that fast 3D dose calculation may offer a practical path toward this goal. However, the optimal strategy to combine high dosimetric accuracy with near-real-time inference speed remains an open question.
DoseRAD2026 aims to benchmark state-of-the-art methods for fast and accurate radiation dose calculation, for both photon and proton radiotherapy, using either computed tomography (CT) or MRI as input.
Objective¶
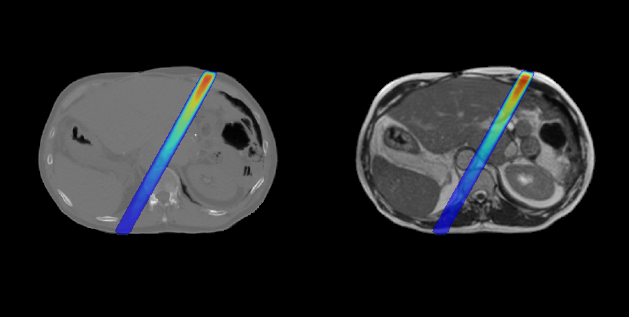
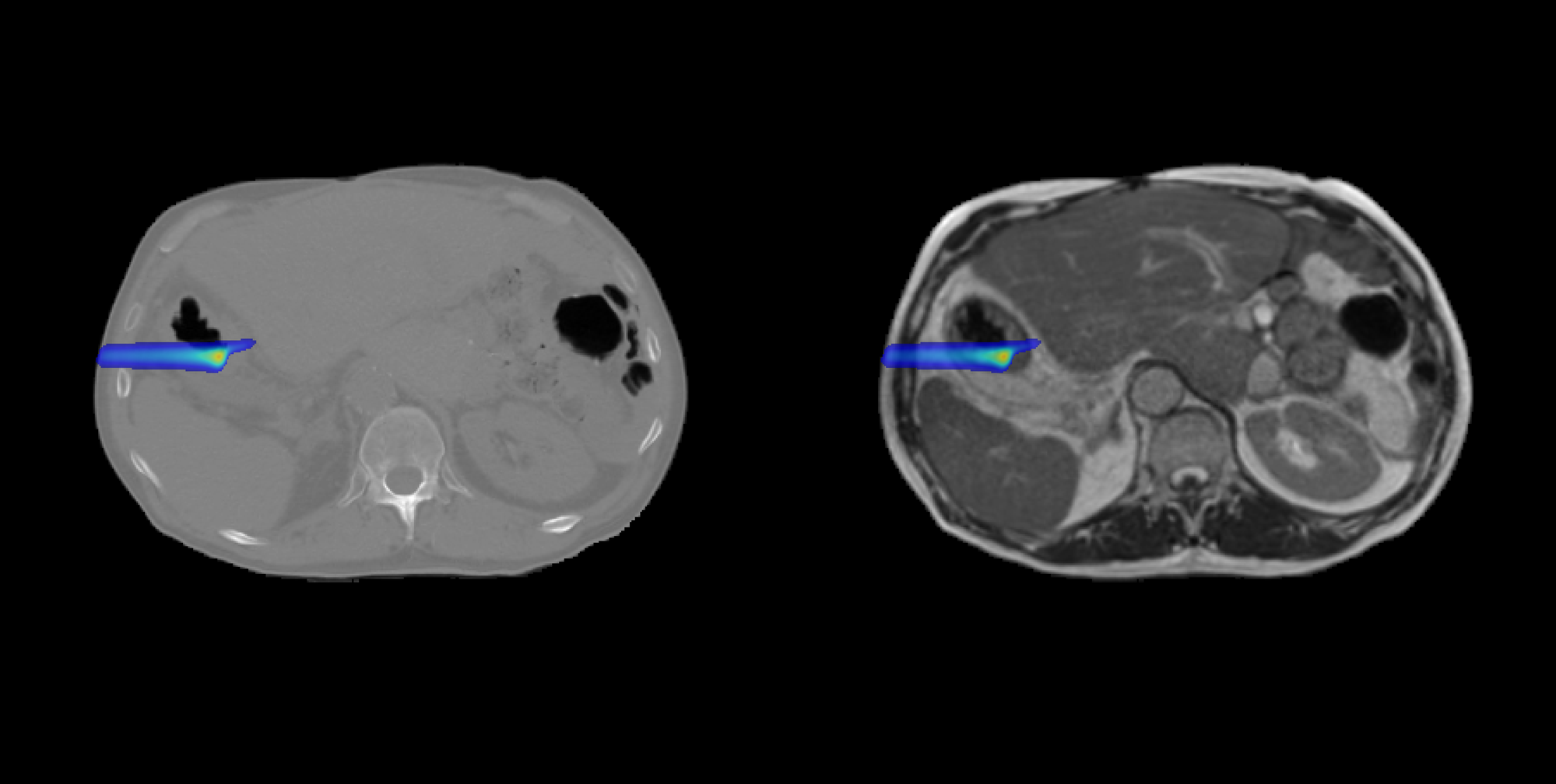
The objective of DoseRAD2026 is fast and accurate 3D dose calculation of individual radiation beams on CT or MRI images.
For each case, participating algorithms will receive:
- A patient CT or MRI volume
- Beam-specific delivery parameters:
- Photon beams defined by multi-leaf collimator (MLC) apertures
- Proton beams defined by pencil beam parameters
The required output is a beam-specific 3D radiation dose distribution.
The challenge consists of four tasks reflecting current and emerging radiotherapy technologies:
-
Photon dose calculation on CT
Relevant for intensity-modulated photon therapy using volumetric modulated arc therapy (VMAT), the standard treatment modality for the majority of patients. -
Photon dose calculation on MRI
Supporting MRI-guided radiotherapy systems (MRI-linacs), which enable online adaptive treatment based on high soft-tissue contrast imaging.


-
Proton dose calculation on CT
Required for high-precision proton therapy planning, where accurate modeling of particle transport is essential due to the sharp distal fall-off of proton beams. -
Proton dose calculation on MRI
Supporting MRI-only proton therapy workflows and future developments in MRI-guided proton therapy.


Outcome¶
DoseRAD2026 aims to provide a unified benchmarking platform for real-time photon and proton dose calculation on CT and MRI images.
By systematically comparing fast computational methods against high-accuracy Monte Carlo simulations, the challenge aims to identify approaches capable of enabling:
- Online adaptive radiotherapy
- MRI-only and MRI-guided proton and photon radiotherapy workflows
- Future real-time dose-guided radiation delivery
Advancing fast and accurate 3D dose calculation is a key step toward more precise, adaptive, and patient-specific radiotherapy.